¿Qué es un cardiólogo pediatra?
Es un médico, que después de realizar sus estudios básicos de medicina realiza una especialidad en Pediatría (enfermedades de niños) y posteriormente un entrenamiento especial especializado en enfermedades del corazón y grandes vasos en niños y adultos con cardiopatías congénitas .
Por lo tanto, este especialista debe tener una formación cardiológica y pediátrica. En el aspecto pediátrico, debe conocer las afecciones médicas y quirúrgicas frecuentes en los niños, incluyendo las enfermedades cromosómicas y hereditarias en las cuales las malformaciones cardíacas son un hallazgo frecuente.
Por lo tanto, este especialista debe tener una formación cardiológica y pediátrica. En el aspecto pediátrico, debe conocer las afecciones médicas y quirúrgicas frecuentes en los niños, incluyendo las enfermedades cromosómicas y hereditarias en las cuales las malformaciones cardíacas son un hallazgo frecuente.
¿Qué son las cardiopatías congénitas?
Las cardiopatías congénitas son anormalidades anatómicas de una o varias de las cuatro cámaras cardíacas, de los tabiques que las separan, de las válvulas, de las vías de salida (zonas ventriculares por donde sale la sangre del corazón), o de los vasos que emergen o llegan al corazón.
Las cardiopatías congénitas no son infrecuentes. Ocho de cada mil recién nacidos, casi uno por cada cien, padecen este problema. La noticia de que su hijo padece una lesión cardíaca congénita es siempre motivo de gran preocupación para los padres. Y efectivamente una cardiopatía congénita que no se diagnostica pronto y no se trata adecuadamente puede poner en riesgo la vida de un niño (a), sobre todo cuando éstas se manifiestan en el primer mes de vida.

En los niños mayores la lesión cardíaca no tratada puede condicionar provocar una pobre calidad de vida, o bien acortarla.
Sin embargo en la actualidad la detección médica de las cardiopatías se lleva a cabo en los primeros días, semanas o meses del nacimiento, de tal manera que pronto se puede planificar el tratamiento médico o quirúrgico correspondiente. La gran mayoría de las cardiopatías congénitas pueden ser corregidas en forma total y definitiva o casi definitiva, permitiendo que el niño disfrute de una vida también completamente normal o casi normal.
Hay más de 50 tipos diferentes de lesiones o anormalidades. Sin embargo con mucha frecuencia se combinan varias lesiones en un mismo niño y ciertos nombres de cardiopatías engloban realmente varias anomalías, como es el caso de la Tetralogía de Fallot. No existe, sin embargo, necesariamente, una relación directa entre el número de lesiones asociadas y la gravedad del caso.
Las cardiopatías congénitas no son infrecuentes. Ocho de cada mil recién nacidos, casi uno por cada cien, padecen este problema. La noticia de que su hijo padece una lesión cardíaca congénita es siempre motivo de gran preocupación para los padres. Y efectivamente una cardiopatía congénita que no se diagnostica pronto y no se trata adecuadamente puede poner en riesgo la vida de un niño (a), sobre todo cuando éstas se manifiestan en el primer mes de vida.

En los niños mayores la lesión cardíaca no tratada puede condicionar provocar una pobre calidad de vida, o bien acortarla.
Sin embargo en la actualidad la detección médica de las cardiopatías se lleva a cabo en los primeros días, semanas o meses del nacimiento, de tal manera que pronto se puede planificar el tratamiento médico o quirúrgico correspondiente. La gran mayoría de las cardiopatías congénitas pueden ser corregidas en forma total y definitiva o casi definitiva, permitiendo que el niño disfrute de una vida también completamente normal o casi normal.
Hay más de 50 tipos diferentes de lesiones o anormalidades. Sin embargo con mucha frecuencia se combinan varias lesiones en un mismo niño y ciertos nombres de cardiopatías engloban realmente varias anomalías, como es el caso de la Tetralogía de Fallot. No existe, sin embargo, necesariamente, una relación directa entre el número de lesiones asociadas y la gravedad del caso.
¿Cuales son las causas de las cardiopatías congénitas?
La medicina actual desconoce la verdadera causa de la mayoría de las anomalías o deficiencias del desarrollo cardíaco y por tanto de las cardiopatías congénitas. Tal vez la conozcamos en un futuro próximo.
Actualmente sólo conocemos factores de riesgo o circunstancias que favorecen tener un hijo con una cardiopatía:
Una de las preguntas que frecuentemente se hacen los padres es si vale la pena arriesgarse a tener otro hijo. La respuesta simple para la mayoría de los casos es SÍ, ya que el riesgo de tener otro niño cardiópata, si bien es algo mayor que el de la pareja sin hijos cardiópatas, sigue siendo bajo.
En esta situación, siempre es aconsejable recibir el consejo genético o cálculo estadístico de la probabilidad de tener otro hijo cardiópata, el cual se hace en base a múltiples factores específicos de cada pareja en cuestión.
Actualmente sólo conocemos factores de riesgo o circunstancias que favorecen tener un hijo con una cardiopatía:
- Edad de los padres (menores 18 y mayores de 35 años)
- Antecedentes familiares de cardiopatías congénitas
- Niños con alteraciones cromosómicas (síndrome de Down, etc.)
- Factores maternos de diabetes, alcoholismo, lupus, fenilquetonuria y rubeola durante el embarazo
- Ingesta de drogas durante el embarazo como anfetaminas, hidantoina, timetadiona, litio y talidomida
Una de las preguntas que frecuentemente se hacen los padres es si vale la pena arriesgarse a tener otro hijo. La respuesta simple para la mayoría de los casos es SÍ, ya que el riesgo de tener otro niño cardiópata, si bien es algo mayor que el de la pareja sin hijos cardiópatas, sigue siendo bajo.
En esta situación, siempre es aconsejable recibir el consejo genético o cálculo estadístico de la probabilidad de tener otro hijo cardiópata, el cual se hace en base a múltiples factores específicos de cada pareja en cuestión.
¿Qué es un soplo cardíaco?
Un soplo es un fenómeno acústico (sonido o ruido) que podemos oír con ayuda del estetoscopio que se escucha entre los 2 ruidos que produce normalmente. Un soplo no es necesariamente una enfermedad ni tampoco es algo que podamos ver o tocar. El nombre de soplo se utiliza debido al parecido de este sonido con el que se produce con el acto de soplar.
Latido de corazón normal
Estenosis Mitral
Estenosis Pulmonar
Regurgitación Aórtica
Regurgitación Mitral
El soplo cardiaco puede ser normal (inocente) o patológico. Éste último generalmente nos indica que existe una defecto cardiaco en alguna de sus paredes, válvulas o arterias. Por lo tanto si el pediatra que detecta el soplo tiene dudas respecto a la naturaleza del soplo debe enviar al paciente con un Cardiólogo Pediatra.
Latido de corazón normal
Estenosis Mitral
Estenosis Pulmonar
Regurgitación Aórtica
Regurgitación Mitral
El soplo cardiaco puede ser normal (inocente) o patológico. Éste último generalmente nos indica que existe una defecto cardiaco en alguna de sus paredes, válvulas o arterias. Por lo tanto si el pediatra que detecta el soplo tiene dudas respecto a la naturaleza del soplo debe enviar al paciente con un Cardiólogo Pediatra.
¿Qué es un soplo inocente?
El soplo normal o inocente es uno ruido que no rebasa el grado 3. En ocasiones es difícil escuchar un soplo en un niño por el llanto. Pueden aparecer al nacimiento o bien a partir de los 2 años y se hace más intenso cuando hay anemia, fiebre, infecciones y excitación.
El soplo se produce por el flujo de la sangre dentro de las paredes de los vasos sanguíneos o por la vibración que se produce por el choque de la sangre sobre un corazón muy elástico que al vibrar produce un sonido característico.
Para tener la certeza si un soplo es normal o no, el especialista en cardiología pediátrica debe evaluar al paciente. La evaluación consiste en escuchar con cuidado los ruidos cardiacos, palpar pulsos, realizar un electrocardiograma (nos permite evaluar la actividad eléctrica del corazón). Una radiografía de tórax nos proporciona mayor información acerca del tamaño del corazón y otros datos valiosos.
En el caso de un soplo inocente, el corazón del niño es normal y no presentara síntomas tales como dolor de pecho, dificultad para ganar peso, respiración entrecortada. No es necesario limitar sus actividades. Puede jugar, correr, hacer ejercicio y viajar. No hay que consentirlo ni requiere visitas subsecuentes al cardiólogo a menos que usted o su médico tengan alguna duda al respecto.
El soplo se produce por el flujo de la sangre dentro de las paredes de los vasos sanguíneos o por la vibración que se produce por el choque de la sangre sobre un corazón muy elástico que al vibrar produce un sonido característico.
Para tener la certeza si un soplo es normal o no, el especialista en cardiología pediátrica debe evaluar al paciente. La evaluación consiste en escuchar con cuidado los ruidos cardiacos, palpar pulsos, realizar un electrocardiograma (nos permite evaluar la actividad eléctrica del corazón). Una radiografía de tórax nos proporciona mayor información acerca del tamaño del corazón y otros datos valiosos.
En el caso de un soplo inocente, el corazón del niño es normal y no presentara síntomas tales como dolor de pecho, dificultad para ganar peso, respiración entrecortada. No es necesario limitar sus actividades. Puede jugar, correr, hacer ejercicio y viajar. No hay que consentirlo ni requiere visitas subsecuentes al cardiólogo a menos que usted o su médico tengan alguna duda al respecto.
¿Cuándo debo sospechar que pueda haber una enfermedad del corazón?
Usted deberá fijarse en ciertos síntomas que podrían indicar la necesidad de que su hijo reciba atención médica. Si a su hijo parece que le cuesta trabajo respirar más de lo normal, llame inmediatamente al pediatra. Otros signos que requieren atención médica inmediata incluyen:
- Un color azulado o amoratado (cianosis) en la piel que hay alrededor de la boca o en los labios y la lengua.
- Respiración rápida o dificultad para respirar, luce fatigado.
- Poco apetito o dificultad para alimentarse (que pueden asociarse al cambio de color).
- Sudoración excesiva durante la alimentación.
- Retraso del crecimiento (el niño no gana peso o lo pierde).
- Disminución del nivel de energía o actividad.
- Fiebre inexplicable de larga duración.
¿Qué es un electrocardiograma?
Es una prueba sencilla que no produce ninguna molestia y no tiene ningún riesgo para el paciente. Es muy útil para el diagnóstico de varias afecciones.

El electrocardiograma registra en papel los cambios que ocurren en las pequeñas corrientes eléctricas que se producen en el corazón con cada latido. Las alteraciones en el trazado son imprescindibles para el análisis de las arritmia y muy útiles en los episodios agudos de enfermedad coronaria como el infarto de miocardio. También da información acerca del tamaño de las cavidades del corazón.
La enfermera conecta los cables del electrocardiógrafo a la piel por medio de adhesivos o ventosas (electrodos) sujetas a los tobillos, muñecas y pecho del paciente. De esta forma se recoge el mismo impulso eléctrico desde diferentes posiciones.
El electrocardiograma no produce ninguna molestia. La persona debe permanecer acostada, relajada, sin hablar, con un ritmo respiratorio normal y con los brazos y las piernas inmóviles.

El electrocardiograma registra en papel los cambios que ocurren en las pequeñas corrientes eléctricas que se producen en el corazón con cada latido. Las alteraciones en el trazado son imprescindibles para el análisis de las arritmia y muy útiles en los episodios agudos de enfermedad coronaria como el infarto de miocardio. También da información acerca del tamaño de las cavidades del corazón.
La enfermera conecta los cables del electrocardiógrafo a la piel por medio de adhesivos o ventosas (electrodos) sujetas a los tobillos, muñecas y pecho del paciente. De esta forma se recoge el mismo impulso eléctrico desde diferentes posiciones.
El electrocardiograma no produce ninguna molestia. La persona debe permanecer acostada, relajada, sin hablar, con un ritmo respiratorio normal y con los brazos y las piernas inmóviles.
¿Qué es un ecocardiograma?
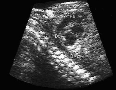
El ecocardiograma es una prueba diagnóstica fundamental porque ofrece una imagen en movimiento del corazón. Mediante ultrasonidos, la ecocardiografía aporta información acerca de la forma, el tamaño y la fuerza del corazón, el movimiento y grosor de sus paredes y el funcionamiento de sus válvulas.
Es una prueba no dolorosa que no produce ningún efecto secundario. Gracias a ella podemos conocer muchos detalles sobre el funcionamiento del corazón.
¿Qué es un ecocardiograma fetal?
El ecocardiograma fetal lo realiza un cardiólogo pediatra . El examen puede hacerse utilizando una ecografía abdominal o transvaginal.


Durante el examen, la sonda del transductor se mueve para obtener imágenes de diferentes áreas y estructuras del corazón fetal. Entre las técnicas que a veces se utilizan para obtener información detallada sobre el corazón del feto se incluyen las siguientes:

La ecocardiografía fetal puede ayudar a detectar anormalidades cardiacas fetales antes del nacimiento permitiendo una intervención médica o quirúrgica más rápida una vez que el bebé nace. Esto aumenta las probabilidades de supervivencia de los bebés con un defecto cardiaco grave luego del parto.

- Ecografía abdominal. Se aplica gel sobre el abdomen y se desliza un transductor de ultrasonido sobre el gel para crear la imagen.
- Ecografía transvaginal. Se inserta un pequeño transductor de ultrasonido pequeño dentro de la vagina, el cual se coloca contra la parte posterior de la misma para crear las imágenes. La ecografía transvaginal produce imágenes más nítidas que la ecografía abdominal y se suele usar al comienzo del embarazo.

Durante el examen, la sonda del transductor se mueve para obtener imágenes de diferentes áreas y estructuras del corazón fetal. Entre las técnicas que a veces se utilizan para obtener información detallada sobre el corazón del feto se incluyen las siguientes:
- Ecocardiografía 2-D (bidimensional). Esta técnica se utiliza para observar las estructuras reales del corazón y su movimiento. La imagen de la eco 2D aparece en el monitor en forma de cono, pudiéndose observar el movimiento de las estructuras del corazón en tiempo real. Esto le permite al médico ver las diversas estructuras del corazón en funcionamiento para poder así evaluarlas.
- Ecocardiografía Doppler. Se utiliza para medir y evaluar el flujo de sangre a través de las cavidades y las válvulas del corazón. La cantidad de sangre que se bombea con cada latido es una indicación del funcionamiento del corazón. Además, el eco Doppler puede detectar un flujo de sangre anormal en el interior del corazón, lo que indicaría problemas como una abertura entre sus cavidades, el mal funcionamiento de una o más de las cuatro válvulas cardiacas, o un deterioro en las paredes del corazón.
- Doppler en color. Es una forma mejorada de la ecocardiografía Doppler. En el Doppler en color se utilizan diferentes colores para indicar las distintas direcciones del flujo de la sangre. Esto simplifica la interpretación de las imágenes.

La ecocardiografía fetal puede ayudar a detectar anormalidades cardiacas fetales antes del nacimiento permitiendo una intervención médica o quirúrgica más rápida una vez que el bebé nace. Esto aumenta las probabilidades de supervivencia de los bebés con un defecto cardiaco grave luego del parto.
¿Qué es un holter?
El Holter es un dispositivo electrónico de pequeño tamaño que registra y almacena el electrocardiograma del paciente durante al menos 24 horas. Suele emplearse en pacientes con sospecha de arritmia cardiaca o para diagnosticar una isquemia silenciosa (falta de oxigenación del músculo cardiaco). El paciente debe tomar nota de las posibles alteraciones que perciba durante este tiempo.

Al paciente se le colocan en el tórax varios electrodos conectados a un Holter del tamaño de un teléfono móvil. Transcurrido el tiempo de registro, el dispositivo se conecta a una computadora donde se descargan todos los datos recogidos, se procesan y se obtiene información muy útil sobre la frecuencia cardiaca y las posibles alteraciones del ritmo.
Cuando los síntomas son esporádicos, el Holter convencional tiene una eficacia limitada, ya que el periodo de registro puede no coincidir con el momento en que se manifieste un síntoma concreto.
La actividad del paciente durante el tiempo que tiene colocado el Holter debe ser absolutamente normal. El paciente recibe una hoja con sus datos y la hora de inicio de la grabación en donde anotará las posibles incidencias que perciba (palpitaciones, mareo, dolor en el pecho, etc.). Esto permitirá que el especialista analice el registro del electrocardiograma justo en el momento en que se produjo la molestia. El paciente deberá llenar una hoja donde anote las actividades que realizó durante el día para poder determinar si su ritmo y frecuencia cardiaca fue normal de acuerdo a su actividad física.

Al paciente se le colocan en el tórax varios electrodos conectados a un Holter del tamaño de un teléfono móvil. Transcurrido el tiempo de registro, el dispositivo se conecta a una computadora donde se descargan todos los datos recogidos, se procesan y se obtiene información muy útil sobre la frecuencia cardiaca y las posibles alteraciones del ritmo.
Cuando los síntomas son esporádicos, el Holter convencional tiene una eficacia limitada, ya que el periodo de registro puede no coincidir con el momento en que se manifieste un síntoma concreto.
La actividad del paciente durante el tiempo que tiene colocado el Holter debe ser absolutamente normal. El paciente recibe una hoja con sus datos y la hora de inicio de la grabación en donde anotará las posibles incidencias que perciba (palpitaciones, mareo, dolor en el pecho, etc.). Esto permitirá que el especialista analice el registro del electrocardiograma justo en el momento en que se produjo la molestia. El paciente deberá llenar una hoja donde anote las actividades que realizó durante el día para poder determinar si su ritmo y frecuencia cardiaca fue normal de acuerdo a su actividad física.
¿Qué es una prueba de esfuerzo y cómo se realiza?
La finalidad de la prueba de esfuerzo es determinar cuál es el trabajo del corazón y ajustar los diferentes niveles de actividades. La prueba se realiza en una sala equipada con monitores para medir la presión y llevar a cabo un electrocardiograma.

El paciente debe traer ropa y calzado cómodo. No debe comer nada 2 horas previas a la prueba. Un médico y una enfermera estarán junto a su hijo desde el momento en que inicia la prueba. Al llegar a la sala se le fijan en el pecho al niño unos electrodos que están conectados a un monitor. Se le toma la presión en reposo y el niño se sube a una banda caminadora similar a la de los gimnasios. La prueba consiste en caminar en la banda, la cual progresivamente aumenta su velocidad e inclinación a intervalos de tiempo controlados. Continuamente se miden su presión arterial y su pulso. La prueba termina cuando el niño sufre agotamiento o muscular, si se produce alguna alteración, o bien cuando el cardiólogo ya puede realizar un diagnóstico.
Se dejan unos 10-15 minutos para la recuperación y para vigilar cualquier posible alteración. Tras estos minutos, se retiran los cables del monitor y se informan los resultados. Después de la prueba el niño podrá comer, beber y reiniciar su vida normal, incluso asistir a la escuela.
En adultos se emplea la prueba de esfuerzo casi exclusivamente para detectar isquemia. En la cardiología pediátrica las indicaciones son más amplias. En este caso la prueba de esfuerzo se emplea para evaluar el efecto de conocidas enfermedades cardiovasculares y cardiorespiratorias y el resultado de sus tratamientos bajo condiciones de ejercicio, y también para confirmar sospechas todavía no probadas de condiciones patológicas tales como arritmias

El paciente debe traer ropa y calzado cómodo. No debe comer nada 2 horas previas a la prueba. Un médico y una enfermera estarán junto a su hijo desde el momento en que inicia la prueba. Al llegar a la sala se le fijan en el pecho al niño unos electrodos que están conectados a un monitor. Se le toma la presión en reposo y el niño se sube a una banda caminadora similar a la de los gimnasios. La prueba consiste en caminar en la banda, la cual progresivamente aumenta su velocidad e inclinación a intervalos de tiempo controlados. Continuamente se miden su presión arterial y su pulso. La prueba termina cuando el niño sufre agotamiento o muscular, si se produce alguna alteración, o bien cuando el cardiólogo ya puede realizar un diagnóstico.
Se dejan unos 10-15 minutos para la recuperación y para vigilar cualquier posible alteración. Tras estos minutos, se retiran los cables del monitor y se informan los resultados. Después de la prueba el niño podrá comer, beber y reiniciar su vida normal, incluso asistir a la escuela.
En adultos se emplea la prueba de esfuerzo casi exclusivamente para detectar isquemia. En la cardiología pediátrica las indicaciones son más amplias. En este caso la prueba de esfuerzo se emplea para evaluar el efecto de conocidas enfermedades cardiovasculares y cardiorespiratorias y el resultado de sus tratamientos bajo condiciones de ejercicio, y también para confirmar sospechas todavía no probadas de condiciones patológicas tales como arritmias
¿Qué es un MAPA (Monitoreo Ambulatorio de la Presión Arterial)?
Es una técnica de apoyo que nos permite hacer mediciones seriadas de la presión arterial (PA) durante un período de tiempo determinado (generalmente 24 horas), la que se realiza en forma ambulatoria, mediante la colocación de un esfigmomanómetro conectado a una grabadora que en forma automática realiza las mediciones, las que se analizan posteriormente por el médico. Esto nos permite observar las variaciones de la presión arterial durante el día, determinar si el paciente presenta Hipertensión de la Bata Blanca, valorar la respuesta a los medicamentos para control de la PA, etc.
Hipertensión de la Bata Blanca es lo que sucede con algunas personas normotensas (que tienen la tensión arterial habitualmente normal ) quienes sufren una elevación transitoria de ésta cuando se la miden en un consultorio médico o de enfermería. Es importante conocer este fenómeno para no diagnosticar en falso como hipertensos a personas cuya tensión arterial es normal a lo largo del día. Para observar esto se les toma en su casa o cerca de su medio habitual; por ejemplo, en la farmacia más próxima.
Con frecuencia estos pacientes también tienen elevaciones tensionales anormales que coinciden con otros factores más o menos estresantes: prisas, comparecencias en público, cuando sufren emociones, etc.
Por esta razón el paciente debe vigilarse con cierta frecuencia y, aunque en principio no sea candidato a tratamiento con medicamentos, debe seguir normas preventivas apropiadas y controles periódicos tensionales.
Hipertensión de la Bata Blanca es lo que sucede con algunas personas normotensas (que tienen la tensión arterial habitualmente normal ) quienes sufren una elevación transitoria de ésta cuando se la miden en un consultorio médico o de enfermería. Es importante conocer este fenómeno para no diagnosticar en falso como hipertensos a personas cuya tensión arterial es normal a lo largo del día. Para observar esto se les toma en su casa o cerca de su medio habitual; por ejemplo, en la farmacia más próxima.
Con frecuencia estos pacientes también tienen elevaciones tensionales anormales que coinciden con otros factores más o menos estresantes: prisas, comparecencias en público, cuando sufren emociones, etc.
Por esta razón el paciente debe vigilarse con cierta frecuencia y, aunque en principio no sea candidato a tratamiento con medicamentos, debe seguir normas preventivas apropiadas y controles periódicos tensionales.
¿Qué es una arritmia?

¿Qué es una arritmia?
Una arritmia (también llamada disritmia) es un ritmo anormal del corazón que provoca que éste bombee con menor eficacia.
Las arritmias pueden causar problemas en las contracciones de las cavidades del corazón debido a:
- No permitir que los ventrículos (cámaras inferiores) se llenen con una cantidad adecuada de sangre porque la señal eléctrica hace que el corazón bombee demasiado rápido.
- No permitir que se bombee una cantidad suficiente de sangre hacia el cuerpo, porque una señal eléctrica hace que el corazón bombee demasiado despacio o de forma demasiado irregular.
¿Cuáles son los síntomas de la arritmia?
A continuación se enumeran los síntomas más comunes de la arritmia. Sin embargo, cada niño puede experimentarlos de una forma diferente. Los síntomas pueden incluir:
- Debilidad
- Fatiga
- Palpitaciones
- Baja presión sanguínea
- Mareos
- Desmayos
- Palidez
- Poco apetito
Otra indicación de que existe una arritmia es un cambio en el patrón del electrocardiograma (EKG o ECG). No obstante, los cambios en el ECG no se ven a menos que se realice esta prueba o que el niño esté bajo control en el hospital u otra institución. Debido a que los síntomas del tipo de los anteriormente mencionados pueden indicar la presencia de una arritmia, suele realizarse un ECG a los niños que presenten uno o más de ellos.
Mi niño se desmayó. ¿Qué hago?
Debe consultar a su pediatra de cabecera a la mayor brevedad posible.
Al episodio de pérdida del conocimiento y caída se le denomina Síncope. También se le llama lipotimia o desmayo. La forma más común que se observa en los niños y adolescentes es el Síncope Vasovagal ante situaciones de ayuno, lugares cerrados, el mucho tiempo parado (actos escolares), estrés, miedo, etc.
Habitualmente el niño percibe que algo anda mal, está inquieto, puede presentar cefaleas (dolor de cabeza) y nauseas. También puede estar irritable, pálido de piel y mucosas, y con sus manos y pies fríos. Todos estos síntomas anuncian que probablemente tendrá una pérdida de la conciencia y consecuente caída.
La duración de estos episodios es corta y generalmente la recuperación es completa en pocos minutos. Es muy frecuente la presencia de antecedentes similares en familiares cercanos. Se asocia a su vez con antecedentes familiares de migraña y antecedentes personales de espasmo del sollozo del tipo pálido
A pesar de estos antecedentes es conveniente estudiar al niño para descartar otras enfermedades principalmente cardíacas como las arritmias y las cardiopatías estructurales (alteraciones en la anatomía del corazón), para lo cual el paciente será referido a un cardiólogo pediatra. Otras alteraciones son neurológicas como las convulsiones que causan la pérdida del conocimiento y caída abrupta pero con marcada confusión y somnolencia posterior al episodio, sin poder recordar lo ocurrido.
El niño debe ser evaluado por un pediatra quien después del interrogatorio y examen físico puede, según los hallazgos, solicitar un electrocardiograma, estudios sanguíneos para descartar anemia o alteraciones de la glucosa en la sangre, etc. Estas investigaciones se solicitan según los datos que sugieran los hallazgos al examinar al paciente. Si ocurren síncopes reiterados o dudas diagnósticas puede requerirse una evaluación neurológica para descartar episodios de convulsiones.
Existe un estudio llamado Tilt Test (Mesa Basculada) que investiga la relación de los cambios de tensión arterial en diferentes posiciones del cuerpo (acostado, sentado, parado). Esto se realiza con un equipo especial que consta de una camilla móvil y sensores de tensión arterial que se colocan al paciente. Este estudio se realiza en forma gradual y bajo atenta vigilancia profesional. Es muy útil para investigar a los pacientes que presentan recurrencia de síncopes.
El tratamiento de los cuadros sincopales consiste primero en prevenirlos evitando largas horas de ayuno, tiempos prolongados de pie, lugares cerrados, etc. En el momento que aparezcan los síntomas de inicio (palidez, mareos, nauseas, etc.) se recomienda sentarse o acostarse con las piernas elevadas para mejorar la circulación sanguínea.
Existen casos puntuales de episodios sincopales que pueden requerir medicación especifica, lo cual determinará el especialista que esté a cargo del paciente.
Al episodio de pérdida del conocimiento y caída se le denomina Síncope. También se le llama lipotimia o desmayo. La forma más común que se observa en los niños y adolescentes es el Síncope Vasovagal ante situaciones de ayuno, lugares cerrados, el mucho tiempo parado (actos escolares), estrés, miedo, etc.
Habitualmente el niño percibe que algo anda mal, está inquieto, puede presentar cefaleas (dolor de cabeza) y nauseas. También puede estar irritable, pálido de piel y mucosas, y con sus manos y pies fríos. Todos estos síntomas anuncian que probablemente tendrá una pérdida de la conciencia y consecuente caída.
La duración de estos episodios es corta y generalmente la recuperación es completa en pocos minutos. Es muy frecuente la presencia de antecedentes similares en familiares cercanos. Se asocia a su vez con antecedentes familiares de migraña y antecedentes personales de espasmo del sollozo del tipo pálido
A pesar de estos antecedentes es conveniente estudiar al niño para descartar otras enfermedades principalmente cardíacas como las arritmias y las cardiopatías estructurales (alteraciones en la anatomía del corazón), para lo cual el paciente será referido a un cardiólogo pediatra. Otras alteraciones son neurológicas como las convulsiones que causan la pérdida del conocimiento y caída abrupta pero con marcada confusión y somnolencia posterior al episodio, sin poder recordar lo ocurrido.
El niño debe ser evaluado por un pediatra quien después del interrogatorio y examen físico puede, según los hallazgos, solicitar un electrocardiograma, estudios sanguíneos para descartar anemia o alteraciones de la glucosa en la sangre, etc. Estas investigaciones se solicitan según los datos que sugieran los hallazgos al examinar al paciente. Si ocurren síncopes reiterados o dudas diagnósticas puede requerirse una evaluación neurológica para descartar episodios de convulsiones.
Existe un estudio llamado Tilt Test (Mesa Basculada) que investiga la relación de los cambios de tensión arterial en diferentes posiciones del cuerpo (acostado, sentado, parado). Esto se realiza con un equipo especial que consta de una camilla móvil y sensores de tensión arterial que se colocan al paciente. Este estudio se realiza en forma gradual y bajo atenta vigilancia profesional. Es muy útil para investigar a los pacientes que presentan recurrencia de síncopes.
El tratamiento de los cuadros sincopales consiste primero en prevenirlos evitando largas horas de ayuno, tiempos prolongados de pie, lugares cerrados, etc. En el momento que aparezcan los síntomas de inicio (palidez, mareos, nauseas, etc.) se recomienda sentarse o acostarse con las piernas elevadas para mejorar la circulación sanguínea.
Existen casos puntuales de episodios sincopales que pueden requerir medicación especifica, lo cual determinará el especialista que esté a cargo del paciente.

